12年ぶりに再び同じような骨折をしてしまったことは、前回の記事でご紹介しました。
前回は第五中足骨基部骨折、今回は小指側の広い範囲を骨折。
以下の記事では12年前に骨折したときのことも書いています。
骨折すると、思った以上に不便で、そして不安です。
骨折してどれくらいで治癒するか?本当に歩けるようになるのか?など不安に思ってこのブログを見ていただいている方もいるかもしれません。
この記事では第5中足骨骨折をした当日から2週間までの様子と、骨折期間中にあると便利だったもの3選を私の骨折した経験を元にまとめています。
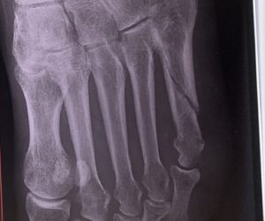
記事中骨折した箇所の画像も掲載しています。少しでも参考になれば幸いです。
第五中足骨骨折の症状と状態
骨折した当日のこと
12年ぶりに骨折。前回は第五中足骨基部骨折で今回は第五中足骨(足の甲の小指側)を骨折しました。
自分の運動神経のなさに呆れてしまいますが、折ってしまったものは仕方ない。
事故直後は腫れてまぁ痛いのなんので、まずは氷で冷やしました。
骨折したのは足を見ればすぐにわかったので(みるみる腫れてきた)、焦ってすぐに病院へ行きました。もう少ししっかり冷やしとけば痛みもそんなに酷くなかったかも?と後に反省。
レントゲン撮って折れているのを確認したらすぐにギブスとなりました。
まぁ普通に斜めボッキリに折れていたので骨がズレないように固定するのは仕方ないか。

ところで、12年前の時のギブスは足を石膏で固めてすっぽり足が隠れてましたが、今回はふくらはぎ側だけにあてて包帯で固定する仕様になってました。
梅雨に入る少し前に骨折したので、暑さは少し和らぐかな。
まわりの筋肉や組織によって折れた骨の部分がズレたりする可能性もあって、「ズレ具合によっては手術になる。かかとはついてもいいが足全体では絶対に体重を乗せてはいけない」と何度も脅されました。
つか、痛すぎて歩けません。
当日の夜は、あまり冷やさないでギブスとなったからかどうかはわかりませんが、その夜は痛くて眠れなかったので病院で処方してもらった鎮痛剤を飲みました。
骨折から8日目
骨折してから痛みのピークが3日間ほど続き、8日目ころになると10のうち2くらいの痛みに落ち着いてきた。
痛み止めのお薬も、最初の何日かは夜だけ2回ほど飲んだけどもう飲まなくても大丈夫。
前回のヒビの時は痛みは1日だけだったのに。
まぁ年齢も関係しているのか、骨折も若い人に比べると治りが悪い感じ。
この日は2回めの診察で、レントゲンを撮りました。
見せられた画像では斜めに折れた骨がほんの少しズレていたが、許容範囲と先生に言われました。

折れた場所にもよるのだろうけれど、関節ではなく小指から伸びる骨が折れているのでこの程度のズレは大丈夫なのだろう、と勝手に考える。
久しぶりに包帯をとって見た足は、指の付け根の甲あたりとくるぶしのあたりがどす黒く内出血していて、全体的に腫れている。象の足そのものだ。
「じっとしているか?」と先生に聞かれ、一応主婦でもある私が口ごもっていると、看護師さんが「女性は忙しいもんね」とフォロー。
フォローしてくれた看護師さんには悪いが、まったく主婦として忙しいことは今のところしていない。
「一ヵ所の骨折の割には腫れが酷いなぁ」と、メンタルが弱っている私に先生が不安なひとこと。
画像をみてもらったが他に問題があるようでもなかったので良しとしましょうとのことでした。
つか、レントゲンでは見えないところもあるかも?なんてことは思わずに、自分の骨の治癒力に期待することにしよう。
心臓より高い場所に足をおいて、なるべく安静にするように言われて帰ってきました。
骨折から15日目
今日は骨折してから2週間たった診察日。
最初にレントゲンを撮ったが、包帯をとって足を見ると前回ほどの腫れは引いていたが、まだ腫れは残っている。
足を拭きたいと言うと、看護師さんがバケツにお湯を張って手で優しく丁寧に洗ってくれた。感激するほど気持ちよかった。
なんせ、2週間も洗っていない生足を指の間など手で洗ってくれるのだから、大変申し訳無い気持ちだった。
今回もレントゲンを撮って骨折部分のズレを確認し、許容範囲だといわれました。許容範囲という言葉がこれほどまでに幸せに感じるのも、骨折しているメンタルのせいか。
足のかかと付近などの血管が内出血していて筋になっている。
大丈夫なのか先生に聞いてみても、痛くない?と聞かれただけで様子をみようということになった。
まだギブスは取れないのか聞いてみたが、「まだまだ〜」と受け流されました。わかってはいたけど一日でも早くギブスとおさらばしたい。
今までは座っていても足が重ーくだるく、高くあげていないと苦しかったが、座っていても足のだるさが若干緩和されたように思います。
この日から2週間後に足型装具を作るために、足の型をとるので予約をしてきました。
骨折した時に便利だったもの3選
当然、お風呂には入れず、数日間はシャワーの毎日となりました。
その時にとっても役に立ったものが、足につける防水カバーです。
※いろいろなサイズがありますのでまずは自分に合ったものを!
![]()
前回の骨折の時は、タオルを巻いてビニール袋をガムテープで止めて〜と、お風呂に入る前にやることが多くてかなりストレスでしたが、これはスポッとはくだけでシャワーをかけても水が入ってくることもなくホント!便利です。
次にお風呂用の高さのあるイスも重宝しました。良い点としては、
- ギブスをしていると高さのあるイスは座りやすい
- 椅子の高さと浴槽が同じくらいの高さだったので入浴する際にはスムーズ
40cmの高さのものを購入しました。
悪い点としては、
- 座るところが石鹸でつるつる滑りやすい
- イスが高い分、鏡前の洗面台置き場が思った以上に低く腰に負担がかかってしまい、骨折が完治すると使用しなくなった
あると大変便利でしたが、購入を考えている人は実際にお風呂場での高さや椅子の素材など、骨折していない人にモデルになってもらいながら購入することをおすすめします。
次にオススメなのがGoogle Chromecastです。
家がWi-Fiで繋がっていることが条件となりますが、テレビでストレッチ関連動画をyoutubeで見ることができたのは救いでした。
スマホよりテレビの画面でみると、目が疲れないのでストレッチもしやすいです。
要は、youtubeにある豊富なストレッチ動画を見ることができれば、どんなデバイスでもいいです。
我が家ではこれをテレビに繋いでストレッチや簡単な運動をしていました。
ただでさえ骨折すると運動不足になりがちですが、出来る範囲、例えば骨折していない部分の運動やストレッチなどができたのは良かったです。
以上3点が骨折したときに便利だったものです。
ところで余談ですが、足を骨折すると這って移動することもありました。
そこで、膝当てがあればいいかなぁと考えましたが、結局購入には至りませんでした。
以上3点が骨折したときに重宝したものです。ストレスを少しでも軽くできればいいですね。



コメント