この記事では、第5中足骨骨折を経験し、3週間から1ヶ月の間で「骨折した箇所の状態」「簡単ストレッチ」「ストレス発散に良かった運動」についてまとめています。
第五中足骨骨折箇所の状態
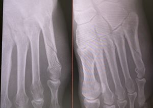
骨折してから22日め
この頃になると、腫れは残っているものの、じっとしている時の痛みはほぼなくなってきました。
ズレの確認の為もあってか、毎週レントゲンを撮っています。
画像を見ると、うっすらですが折れている骨のあたりが白く形成されてきているのがわかります。

少し話はそれますが、義母に骨折の話をしたところ、「チーズと牛乳はちゃんと摂ってる?」と言われました。
私は牛乳は飲まないけれどチーズは好きだし、小魚も毎日納豆と一緒に摂っています。
そういえば、良質の牛肉をたらふく食べた次の日あたりから、痛みが収まってきました。時期が重なっただけでしょうが、骨折の治療には食生活は大事だと改めて実感。
骨折してから約1ヶ月
この日は、病院で足型装具をつくるために足型をとる日でした。
足型装具とは、私の場合小指側の骨折なので足の内側に重心を分散させるために作られ、数日履くことで徐々に歩けるようにしていくというものです。
ギブスをとった生足にラップを巻き、その上に石膏のようなものを塗っていき固めてから外す。
足型装具が出来上がるのが1週間後なので、それまでは待ちに待ったギブスなしの生活となりました。
実は、以前も書いたけど私は同じ場所を12年前にも骨折しています。
以前ヒビが入った時はギブスが取れたのは骨折してから40日後だったが、今回は1ヶ月足らずで取ることになりました。
ギブスをしていると、ふくらはぎは暑いし蒸れるしで、ギブスが取れたことは、それはそれでありがたい。
ただし、まだ骨折した足で着地してはいけないと言われたため、松葉杖と椅子での移動は必須です。
コマの付いたイスに座りながらシャーっと移動していました。それを考えるとバリアフリーってありがたい。
さっそく家に帰ると足を念入りに丁寧に洗いました。
なんせ1ヶ月弱、ギブスに埋もれた足の甲からふくらはぎまでの私の生足。
生足よ!よくぞこの暑さに耐えてくれた。お疲れ様でした!
以前ギブスを取った時に、先生が言った言葉を思い出しました。
「1日では角質とれないよ〜はは(笑)」
浴槽にお湯を張って足を温めたかったが、今週いっぱいはシャワーで我慢しよう。
でも思ったほど角質?垢?は感じなかったので、若い頃のほうが新陳代謝も活発だったのかも。
何度も足を洗ったので、がさがさになってしまいました。
この頃から簡単ストレッチ
若い方などは治りも早そうですし、松葉杖を使いこなして仕事をしている人もいると思います。
中には、私のように骨折してから家に引きこもっている人もいるでしょう。
そんな時に効果があって、スッキリするのがストレッチです。(骨折の度合いによっては、決して無理をしないようにしてください)
足を少しでも動かさないと夕方ごろにはむくみがでてくるので、ストレッチや寝ながらできる運動を少しずつするようになりました。
骨の折れた部分を注意しながらふくらはぎや太ももの裏などストレッチをします。というのもストレッチというのは、座ったまま身体を無理に倒さなくても正しい座り方をするだけで効果があるというのを知りました。
どういうことかというと、
- 座って足を90度に開きます。
- 足のつま先はまっすぐ天井へ向けます。
- 骨盤をまっすぐにして頭を天井に引っ張られているイメージで座る
これだけで体の硬い私は、ふくらはぎから太ももまでの裏側がストレッチされている感じです。ここで大事なことは背中が丸くならないことと、骨盤を立てるイメージで座ること。
物足りなさを感じてきたら、少しずつ背中を丸めないように上半身を腰から前に倒します。骨折している方のふくらはぎが特に引っ張られている感じがしてイタ気持ち良いです。
足の甲ではないので大丈夫だろうと始めています。
骨折によって、どうしても片足に負担がかかるので変な筋肉の使い方になっているようです。少し無理をすると腰痛を引き起こしてしまうので、腰痛にいいストレッチなどもするようにもなりました。
また、今がチャンスとばかりに開脚でベターっと身体を前につけられるようになるためのストレッチもしています。余裕がないとなかなかできないけれど、今は決まった時間にするように自分に課しています。
足の骨折をしているのにストレス発散に行っていた運動
ストレッチの他には、足パカ運動といって音楽に合わせて寝ながら足を開いたり腹筋したりする運動をしています。
youtube で「足パカ」などで検索すると出てくると思います。
頑張りすぎてせっかく治りかけた骨折部分を傷めてしまっては元も子もないので、この記事で紹介するストレッチや足パカ運動は骨折の時にする運動として必ずしも推奨するものではありません。
あくまで個人的にやっていて良かったものとして紹介しています。骨折箇所によってはできない場合もあるかと思われますので、不安な方はかかりつけ医に相談してください。
ちなみに私が出来る範囲でしていた動画はこちらです。
スマホ片手に寝ながらできる運動ですが、やはりテレビ画面で見たほうが運動しやすい。
そこで私がほんと買ってよかったなぁと思うものはGoogle Chromecast です。※類似品がありますが、google正規品の購入をおすすめします。
Google Chromecastをテレビに繋げると、youtubeをテレビ画面で見ることができるので、足パカ運動をする時も見やすくてほんと!買ってよかったです。
他にはNetflixも自宅がWi-Fi環境であればGoogle Chromecastでテレビ画面で見ることができます。
便利だったもの3選として下の記事でご案内しています。



コメント