第五中足骨骨折ふたたび〜プロローグ

第五中足骨骨折ふたたび

このたび、第五中足骨を骨折してしまいました。

第五中足骨とは、足の甲のひとつで、足の指とつながっている中足骨の中でも5番目の小指側に位置している骨のことです。

骨折している人にとっては、骨折をするとどれくらいで治るのか?痛みはおさまるのか?など不安になりますよね。

そもそも何してて骨折したの?

ということで、骨折したことのない人でも参考になるように、自分の骨折体験談を治療の過程とともにまとめてみました。

わたしにとっては干支みたいなもので、12年後に『その時』は前触れなくやってきました。

まずは、12年前に初めて第五中足骨骨折をしたときのことをお話します。

今から12年前の春、正座でアイロンがけをしていました。

正座での作業にそろそろ足が痺れてきたのはわかっていたのに、何も考えずにそのまま立ち上がってしまいました。そう、何も考えずに。

つか、足が痺れていて感覚なく立ち上がったので、足の甲が変な向きでぐねってしまいました。

骨が折れる時って音がするんですね。ボキっっつーて。

その時は、あまり腫れなかったんです。

「骨が折れたらもっと腫れるで」

この素人の話(ちなみに相方)を鵜呑みにした私は、そのまま歩いてスーパーなんぞへ違和感感じながらも行ってましたが、どんどん痛みは増すばかり。

自宅に帰ってやはり痛すぎる!と思った私は、救急外来でレントゲンを撮って見てもらいました。

案の定ヒビが入っていました。

ヒビでも骨折と言うらしい。骨折初体験の私は当時、「へぇーー〜」って感じでしたがそれが12年前。

そして12年後またやってしまいました。

今度は、段差のあるところに振り向きざまに落ちてしまった際に、足が変な方向に向いたまま全体重が乗ってしまいました。高さがあったので体重プラス負荷も加わり、びっくりするくらいな勢いでみるみる腫れてきました。

前回のヒビとは比べ物にならないくらい痛ーーーーーーーい!

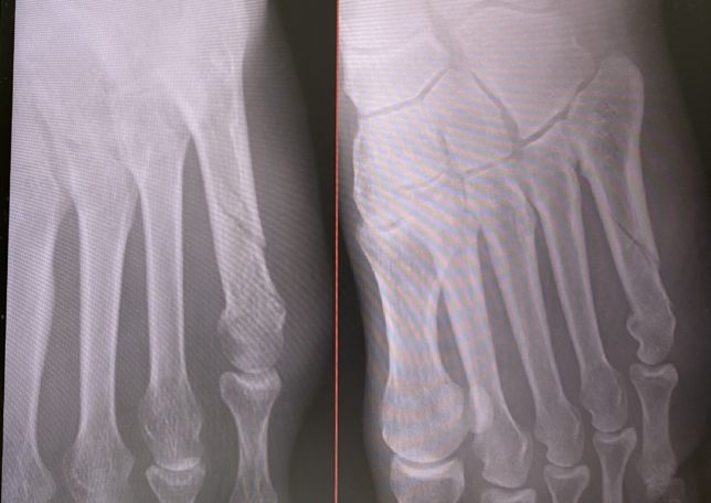
すぐに病院へ行きレントゲンを撮ると、容赦なくボッキリと折れてました。

第五中足骨骨折

12年前と比べると、骨折による治療はあまり変わりはありませんが、ギブスなども簡易的なものになっていました。

それでも、骨折って孤独。これ大丈夫かいな?な不安な毎日。

そんな骨折の経過やあって良かったもの、過ごし方などを次からまとめていきます。

コメント